A healthy smile is one of the most valuable aesthetic features in a person’s life. However, over time, some individuals may experience tooth transparency. Unfortunately, transparent teeth can be a sign not only of aesthetic concerns but also of potential dental health problems. So, why do teeth become transparent and how can this be treated? What can be done to prevent this problem? You will find the answers to all these questions and much more in this article.
What Is Tooth Transparency?
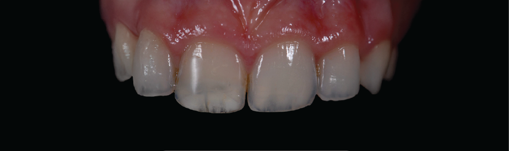
Tooth transparency can appear at the edges of the teeth or across the entire surface. In short, it is defined as the enamel becoming more transparent than normal. This results in the teeth losing their natural opacity and allowing more light to pass through. Tooth transparency usually occurs due to enamel erosion. The outermost layer of the tooth—enamel—plays a major role in determining tooth color. When enamel becomes thin or damaged, the darker dentin layer underneath becomes more visible. This causes the teeth to look transparent. This transparency often starts at the tooth edges because this area contains thinner enamel and is more prone to wear.
What Causes Tooth Transparency?
There are many reasons why teeth become transparent. Most factors are related to diet, oral hygiene habits, or certain medical conditions. The most common causes include:
1. Acid Erosion
Consuming high-acid foods and beverages can cause enamel erosion. Acidic foods and drinks (such as fruit juices and carbonated drinks) can dissolve enamel, leading to tooth transparency over time.
2. Incorrect Brushing Technique
Using a very hard toothbrush or brushing too aggressively can wear down enamel. This is especially problematic for individuals with gum recession, as the exposed areas become more vulnerable to transparency.
3. Teeth Grinding and Clenching (Bruxism)
Bruxism, which involves grinding or clenching teeth at night, can damage enamel over time. Constant pressure on the teeth weakens enamel, paving the way for transparency.
4. Fluoride Deficiency
Adequate fluoride intake helps strengthen enamel. When fluoride is insufficient, enamel becomes weaker and wears down more easily. For this reason, it’s beneficial to consult your dentist regarding fluoride use.
5. Genetic Factors
Some individuals naturally have weaker or thinner enamel due to genetics. This can make their teeth appear more transparent from birth. Understanding the causes of tooth transparency is essential for determining treatment methods. Since each person’s condition may differ, identifying the specific cause is key to choosing the right treatment plan.
Does Transparency at the Tooth Edges Go Away?
In some cases, transparency at the tooth edges may be permanent. Once enamel is worn down or damaged, it generally cannot regenerate or return to its original state. However, there are several treatment methods that can reduce tooth transparency and prevent further enamel problems.
How to Fix Tooth Transparency
Several treatment and care methods can help reduce or stop tooth transparency. These not only protect enamel but also improve the aesthetics of your smile. The most effective treatments include:
Mineral Supplements
Supplements containing minerals like calcium and phosphate can help strengthen enamel. Additionally, special toothpaste and mouthwashes that support oral health can be beneficial.
Composite Resin Bonding
A tooth-colored resin material is applied to the teeth to reduce transparency. Known as composite bonding, this method improves aesthetics without damaging the natural tooth structure.
Porcelain Veneers
Thin porcelain laminates placed on the front surface of the teeth can create a more opaque and healthy appearance. This option is especially preferred when aesthetics are a major concern.
Regular Dental Care
Brushing and flossing regularly prevents plaque buildup and enamel erosion. Limiting acidic foods and drinking enough water also play a major role in protecting enamel.
Professional Dental Cleaning
Regular dental visits and scaling prevent tartar buildup, which helps protect enamel. Fluoride treatments performed by a dentist can further strengthen enamel. As you can see, multiple treatment options are available. The most suitable option depends on your dental condition and overall health. Therefore, consulting a dentist without delay is crucial for determining the best treatment.
How to Prevent Tooth Transparency
Preventing tooth transparency is essential for maintaining oral health and a confident smile. Here are effective prevention strategies:
Watch Your Diet
Reduce consumption of acidic foods and drinks as much as possible. Avoiding acidic beverages (like fruit juices and sodas) helps protect enamel.
Brush Your Teeth Properly
Use a soft toothbrush and brush gently. Fluoride toothpaste can also help strengthen enamel.
Do Not Skip Routine Dental Checkups
Visiting your dentist at least twice a year allows early detection and prevention of potential issues.
Pay Attention to Fluoride Use
Fluoride strengthens enamel and protects against acid attacks. Options include fluoridated water, supplements, or fluoride toothpaste—but always follow your dentist’s guidance before using any product.
Address Underlying Problems
If you grind your teeth, this can harm enamel. Your dentist may recommend a night guard to protect your teeth. These preventive measures not only help stop tooth transparency but also protect overall oral health. Having strong, healthy teeth provides both a beautiful smile and long-term health benefits. If you need further assistance, feel free to contact us. By visiting our clinics, you can quickly learn the most suitable treatment option for your needs.

































