Teeth covers are among the many obsessions in dentistry that people seek to correct their smile. They don’t exactly refer to a particular type of procedure, but collectively it’s a practice that belongs to cosmetic dentistry.
The correct way of addressing the practice is to refer to it as aesthetic dentistry since it’s an umbrella term for multiple procedures.
There are numerous types of teeth covers, but it can be any treatment that places a layer or cap of a tooth-like material on your damaged teeth.
What are teeth covers?

As we’ve discussed above, teeth covers can be one of three popular treatments in cosmetic dentistry that aim to correct and fix teeth by placing false teeth over them.
These teeth covers are flawless in their design and come in the right shade to eclipse all your dental mishaps and give you a charming smile.
What are the 3 types of teeth covers?
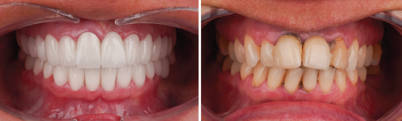
1- Veneers
Veneers are all the rage right now around the globe and are the number 1 cosmetic dentistry procedure. Starting in Hollywood and spreading among the elites of society, veneers are now everyone’s latest obsession. From celebrities to politicians and your next-door neighbor, no one is in the dark about the powers of a beautiful smile and the many opportunities it can bring in life.
No procedure does it like veneers with an unprecedented natural makeover and a charming appeal. The ultra slim teeth covers can correct many smile mishaps; from chipping to pigmentation and misalignment.
It can improve the appearance of a wide range of dental problems because it requires the removal of a layer of your teeth. This step is important to make room for the veneer shells that are typically 0.6 mm in thickness. So to avoid achieving a bulky smile, dentists file down some tissue from your teeth to fit the veneers.
While doing this, many of the mishaps disappear, and even dental issues related to misalignment become easy to conceal with a simple shell.
This type of teeth covers only works for the front teeth and people usually get it to achieve a perfect smile. With technologies such as CAD/CAM, you can get these types of teeth covers in 2 days.
2- Crowns
Crown teeth covers refer to dental crowns, which are hollow tooth-like caps that encase damaged or missing teeth. These types of teeth covers are a common practice in cosmetic dentistry to reverse missing teeth.
Unlike dental implants, dental crowns only replace the portion of the tooth above the gums. This makes them ideal for situations where patients chip, damage, or break their dental crowns alone while the root of the tooth remains intact. It can also be a great teeth covers option for patients who went through a root canal.
Aside from restoring the aesthetics of natural teeth, dental crowns are a category of teeth covers that restores dental functions as well. If the tooth loss gave you issues with speech or chewing, crown teeth covers can correct and reverse these issues.
Similar to veneers, your dentist will also file down your teeth to create space for the crowns. There’s also a precise and lengthy process that takes place beforehand to customize your crowns. This ensures that you get a comfortable fit that won’t cause you trouble or complications in the future.
3- Clip-On teeth covers
Clip-on teeth covers or clip-on veneers are a less professional type of teeth covers. These are chains of veneers for each jaw that patients can wear as they wish. The procedure for this type of teeth covers is very simple since it doesn’t involve the supervision of a dentist.
You can order a set of clip-on veneers from the internet and they will mail a mould to your address. To personalize your teeth covers, you should bite on to the mould and mail it back to the manufacturers who will design your clip-ons based on the impressions from the mould.
Within a few weeks, your teeth covers should be ready. The reason dentists don’t recommend this option is because for one, the clip-ons will be bulky. What patients fail to realize is that with professional veneers; your dentist has to file down some dental tissue to make room for the veneers. But with online dental prosthetics, this step is not at all possible. And as a result, the clip-ons will neither look natural or feel comfortable.
Unlike veneers or crowns, clip-on teeth covers are inconvenient in many ways. They cause a lisp and patients can’t use them to eat. So although they’re the most affordable type of teeth covers, they’re also the least convenient and comfortable to wear.
Cost
The cost of teeth covers is not uniform and instead depends on the type of treatment you wish to get. Each option comes at a different cost and these costs can vary from one location to another.
For instance in Turkey, a single porcelain veneer would cost anywhere between $270 to $370. On average, you’ll need around 12 veneers for a smile makeover. The reason Turkey is a global favorite for patients is not just the affordable costs of treatment. Patients receive packages of luxury services and care of the very high quality that makes the entire experience comfortable.
To elaborate, at Dentakay we handle our patients’ travel arrangements, from luxury accommodation to private transport, airport reception and professional interpretation.
In the USA, you can expect the cost of porcelain veneers to range anywhere between $2,000 to $2,500 per single unit. The UK, on the other hand, offers t these types of teeth covers at an average of $1,300 to $1,700 per single veneer.
Both the UK and the USA charge patients separately for other services such as the use of clinic facilities, consultations, and any additional services.
For dental crowns, costs depend on the material. For instance, in Turkey E-max dental crowns can cost anywhere between $300 to $400. Whereas zirconia crowns can cost around $210 to $310. As for porcelain crowns, the cost can range anywhere between $150 to $250. Likewise, these costs cover other services.
When it comes to clip-on veneers, this type of fake teeth has a somewhat standard price all around the world. You can purchase snap-on veneers on the internet for $500 to $700.
Read also: Composite Veneers Cost in Top Destinations
The takeaway
Teeth covers are a versatile field in dentistry that offer many options for different dental problems. For instance, if you are interested in correcting the appearance of your front teeth, then it is best to opt for veneers. These structures are the most popular when it comes to smile makeovers; with just 12 pieces of veneers, you can entirely transform your smile.
If you wish to restore molars for either their function or appearance, dental crowns are your best option here. But with snap-on veneers, it is best not to go after them in lieu of a professional treatment. Neither the fit nor the practicality is available with this alternative.

































